|
Professionelle Zahnreinigung

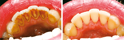
Die einfache Zahnsteinentfernung wird einmal jährlich von der Gesetzlichen Krankenversicherung übernommen. Dabei werden die harten Ablagerungen oberhalb des Zahnfleischsaumes entfernt.
Eine Professionelle Zahnreinigung (PZR) durch unsere Mitarbeiterinnen ist wesentlich umfangreicher:
• Weiche und harte Zahnbeläge und Zahnstein, auch unterhalb
des Zahnfleischsaumes werden entfernt.
• Die Zahnzwischenräume werden gereinigt und geglättet
• Falls nötig, werden alte Füllungen poliert und scharfe Kanten entfernt
• Wir zeigen Ihnen individuell, wie Sie Ihre Zähne am besten pflegen, nicht nur mit der elektrischen oder Handzahnbürste, sondern auch mit
Zahnseide oder Interdentalbürstchen.
• Alle Zähne werden zum Schutz vor Karies mit Fluoridlack behandelt.
Entzündungen des Zahnfleisches (Parodontitis) entstehen häufig durch aggressive Bakterien in Zahnbelägen. Die PZR dient dazu, die akute Entzündung zu verringern und möglicherweise eine Zahnfleischbehandlung zu verhindern. Aber auch nach Zahnfleischbehandlungen ist die PZR sehr wichtig, um Rückfälle zu vermeiden.
Unsere Mitarbeiterinnen brauchen für die PZR je nach Anzahl der Zähne und der Mundsituation bis zu einer Stunde. Die Behandlung ist im Regelfall nicht schmerzhaft, bei empfindlichen Zähnen können Sie aber gerne nach einer einfachen Betäubung fragen.
Viele gesetzliche Krankenkassen bezuschussen neuerdings die PZR. Informieren Sie sich dazu am besten bei Ihrer Krankenkasse.
Airflow
Bei hässlichen Zahnverfärbungen durch Rauchen, aber auch durch Kaffee, Tee, Rotwein und bestimmte Medikamente können wir zusätzlich durch ein Pulverstrahlverfahren (Airflow) für ein kosmetisch einwandfreies Lächeln sorgen. Die Ablagerungen werden, wie mit einem kleinen Hochdruckreiniger, mit einem Pulver-Wasser-Gemisch schmerzlos entfernt.
Bleaching

Wenn Ihnen die natürliche Zahnsubstanz zu dunkel ist, können die Zähne durch Bleaching aufgehellt werden. Dies geschieht direkt in unserer Praxis durch ein Bleichmittel, dass durch Blaulicht aktiviert wird. Beachten Sie bitte:
• Die Behandlung ist unschädlich, allerdings kann es nach der Behandlung für
einige Tage zu Reizungen des Zahnfleisches oder Überempfindlichkeiten der
Zähne kommen. Das klingt später wieder ab.
• Vor der Behandlung empfiehlt sich gegebenenfalls eine PZR.
• Während der Behandlung sollte auf Rotwein verzichtet werden.
• Beachten Sie, dass Füllungen und Kronen nicht aufgehellt werden können!
- Die Kosten der Behandlung werden Ihnen in einem unverbindlichem Beratungsgespräch genannt.
Flyer "fläsh" - Professionelle Zahnaufhellung für strahlend weiße Zähne >>>

Zahnschmuck
Hierbei wird ein Schmuckstein auf die Zähne geklebt, ohne Bohren, ohne Zahnschäden, jederzeit entfernbar.
|